Blog - St. Louis, MO
Tips, Facts, And The
Latest In Dentistry

What Are Endosteal Implants? The Most Common Dental Implant Type

Endosteal implants are dental implants placed directly into the jawbone to replace missing teeth. They’re the most common implant type because they’re versatile and work for single teeth, bridges, and dentures. This short post explains a plain definition, the step-by-step procedure, who is a good candidate, benefits and risks, how they compare to other implants, and when to see a specialist.
What Are Endosteal Implants?
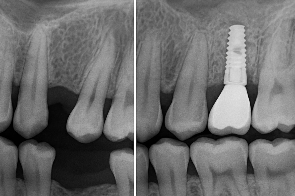
Endosteal implants are titanium or zirconia fixtures placed into the jawbone to act like natural tooth roots. A typical system includes the implant fixture, an abutment that connects to the fixture, and a crown or denture on top. When discussing options, many patients ask about endosteal implants in St. Louis for predictable, long-term tooth replacement.
How Endosteal Implants Work: The Step-by-Step Process
Consultation & 3D Imaging
The process starts with an exam, digital x-rays, and often a CBCT scan to map bone and nerves. This planning helps the team choose implant size, angle, and whether bone grafting is needed. Clear images reduce surprises during surgery and improve outcomes.
Surgery: Placing the Implant
Surgery is usually done with local anesthesia and optional sedation. The surgeon drills a small site in the jawbone and places the implant fixture. Many centers use guided or navigated surgery to increase precision and speed healing. The site is closed to begin the healing phase.
Osseointegration & Final Restoration
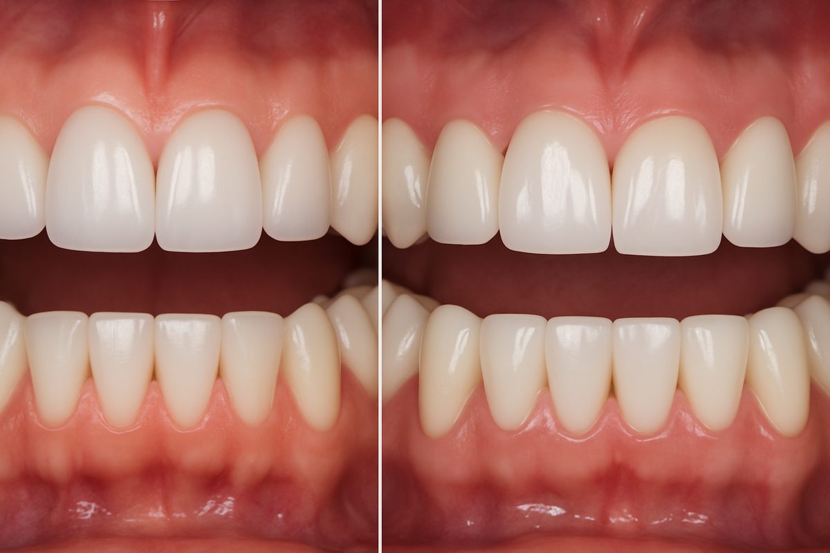
Over weeks to months the bone fuses to the implant in a process called osseointegration. Once stable, the abutment is attached and a custom crown, bridge, or denture is made and placed. Final restorations restore chewing, speech, and appearance.
Who Is a Good Candidate for Endosteal Implants?
Good candidates are in generally good health, have healthy gums, and enough jawbone to support an implant. Common barriers include low bone volume, uncontrolled diabetes, and heavy smoking. Many patients with low bone can still get implants after bone grafts or sinus lifts, which rebuild the foundation for the implant.
Benefits of Endosteal Implants
Endosteal implants in St. Louis are favored because they offer strong chewing stability, a natural look, and help preserve jawbone. They can support single crowns, multi-tooth bridges, or full-arch dentures. With proper care, implants often last many years and provide better function than removable dentures.
Risks, Complications, and Aftercare
Risks include infection, implant failure, nerve irritation, sinus issues, and peri-implantitis (gum infection around the implant). Aftercare is straightforward: good oral hygiene, regular dental checkups, and avoiding smoking speed healing. Watch for persistent pain, swelling, or loose parts and seek prompt care if these occur.
How Endosteal Implants Compare to Other Implant Types
Compared to subperiosteal implants (placed on top of bone) and zygomatic implants (anchored in cheekbone), endosteal implants in St. Louis are usually preferred when adequate jawbone exists because they are less invasive and more predictable. Alternatives are considered when bone loss is severe or anatomy prevents standard placement.
Why Choose a Specialized Implant Center
A specialized implant center offers focused experience, 3D planning, guided surgery, sedation options, a private surgical suite, and an on-site lab for faster, controlled restorations. New You Smile and Dr. James Fetsch provide these services and concentrate exclusively on implant dentistry to improve predictability and comfort.
Next Steps & Call to Action
If you’re considering endosteal implants, schedule a consultation and bring recent medical and dental records. Ask about 3D imaging, guided surgery, and sedation options. Contact the implant center for a personalized evaluation to see if this reliable tooth-replacement option is right for you.




